Dr. Ross, a Loveland Co Dentist explains the correlation between dental infections and your overall health.
There are two different kinds of bacteria in the mouth. One type of bacteria causes cavities and another type causes gum health problems such as gingivitis or periodontitis. Both types of bacteria in the mouth can be treated by consistent and correct oral hygiene along with regular dental visits. However, if the bacteria spreads and causes cavities and gum inflammation, this can be very dangerous to your overall health.
A cavity occurs when decay or bacteria causes a hole in the tooth. Once there is a hole in the tooth, it can only get bigger unless fixed by the recommended treatment by your Dentist. If the hole or bacteria reach the nerve of the tooth, it will cause pain and infection in the tooth, and if this infection is left there long enough, it can cause an abscess. The swelling that often accompanies an abscess can be very dangerous. For example, if there is swelling in the upper teeth, the infection can spread to the brain. Swelling and infection on the lower teeth can cause throat closure.

This is a picture of a tooth that has abscessed causing external swelling.

This is an intraoral picture of a cavity in the top of a tooth.

This is a diagram of the anatomy of a tooth with a cavity that involves the nerve.

This is a picture of a tooth that has been extracted due to the cavity. This shows how the cavity has affected the rest of the tooth.
Periodontitis is where the bacteria attack gum and bone health in our mouth. Some people go years without even knowing they have this disease, which can be very dangerous! Periodontal disease is linked to poor heart health, which can result in heart attacks according to The Journal of Cardiology. According to Web MD, the constant inflammation in the mouth is also linked to rheumatoid arthritis, premature birth, diabetes, and even dementia later in life! Wow!

This is a picture of advanced periodontal disease.

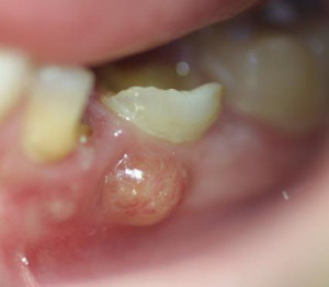
This is a picture of a periodontal abscess.
According to Web MD, on average, the human body makes between 2 to 4 pints of saliva a day, and it’s estimated that the same amount is swallowed each day as well. The bacteria present in the mouth gets mixed into our saliva and we swallow those bacteria carrying them to other areas of our body. Everything we put in our mouth, like food and drink, is broken down so it can enter our blood stream; bacteria found in our mouth are no different.
Our body is so amazing! It does so many different things without us even having to think about it! We need to take good care of our bodies and our teeth. Good oral health contributes to bringing our bodies the nutrients it needs to function!
We hope this article helps you understand how good oral health relates to your overall health. If you have any questions or need to have a dental checkup, please call Ross Family Dentistry in Loveland, CO. or check out our website, www.ross-family-dentistry.com. Dr. Ross is happy to help with all your dental needs!