(970) 667-1236
Patient Portal Request an appointment

Diabetes link to Periodontal Disease

Wow! It ‘s already November, and this year has flown by!

Candy Buy Back was a success at Ross Family Dentistry.

We are now getting ready to package and ship all the candy to the troops!

candy for operation gratitude

Candy for operation gratitude

November is such a busy time of the year. Holiday season has started, people are preparing their travels to see family and friends, gifts are being bought, and plans for the New Year are starting to be made! Here at Ross Family Dentistry, we understand how busy a person can get, but we don’t want you to forget about taking care of yourself!

Did you know that November is National Diabetes month? As you know, diabetes is a very serious disease, but did you know that it is linked to Periodontal Disease?

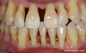
Periodontal Disease affects the gum and bone health in our mouths.  A person with Diabetes who has poor blood sugar control is at higher risk for periodontal disease. One reason is that the bacteria found in our mouths thrives on sugar, and that also includes glucose. When a person’s blood sugar is poorly controlled, there are higher glucose levels in the mouth.  Another reason that someone with Diabetes is at higher risk for periodontal disease is because one of the side effects of Diabetes is the change that occurs in blood vessels. Diabetes causes blood vessels to thicken. Normal blood vessels carry nutrients and oxygen to other parts of our bodies, including our mouth. But when blood vessels thicken, it slows the transportation of nutrients and oxygen, causing the bacteria in the mouth to thrive.

Good news though! According to Web MD, a person with good blood sugar control is at no greater risk of periodontal disease than a person who does not have Diabetes. These statistics hold true for children who are insulin dependent as well.

advanced periodontal disease

 

periodontal disease vs healthy gums

periodontal disease vs healthy gums

Here at Ross Family Dentistry, we enjoy playing games so we decided to play Rapid Fire!

We asked each team member 10 questions, and we recorded their answers. Each one of us had to answer right away with the first response that came to mind. Of course, Dr. Ross had to go first! Check out her video!

Be sure to check out next month’s blog where you’ll see Kathleen’s response!