(970) 667-1236
Patient Portal Request an appointment

What to do if you have a toothache and what are root canals?

Toothaches and Root Canals.

Have you ever had a toothache? If so you know and understand that it can be the worst pain some people ever experience. What causes toothaches? How can they be treated and even prevented?

Toothaches can be caused by many different reasons, but the most common cause is decay. Decay is bacteria that have weakened the tooth structure. Once the bacteria go through the enamel layer of our tooth, it reaches the dentin. The dentin is a much softer tooth structure, and as such, the bacteria are able to destroy it much more easily. If the decay is not taken care of by removing it and a placing a filling, then the bacteria can travel and reach the nerve of the tooth. The nerve of every tooth is the blood supply to that tooth. The nerve of the tooth is what gives us the sensation of temperature in our teeth, and it also makes the tooth strong due to that blood supply. Once decay reaches the nerve, the nerve usually becomes inflamed and the tooth becomes more and more sensitive to temperature. If the bacteria is still not removed, it travels down the inside of the root structure and can cause an abscess at the end of the tooth. When that happens, swelling and discomfort when biting can occur. Swelling occurs because the bacteria does not have any place to go other than outward; this often causes a bump to develop on the side of our gums and swelling occurs in the cheek. Biting pressure discomfort happens due to the abscess causing the tooth to lift up and hit the other teeth. If the bacteria at this point are still not taken out, then it will destroy the bone around the tooth and cause the tooth to become necrotic which means the tooth has died. Since the body no longer produces any blood supply to a necrotic or dead tooth, that tooth becomes brittle and breaks.

gross decayed tooth.

decayed tooth.

OUCH!

Root Canals.

When bacteria cause this much tooth destruction, the patient has two options. The dentist can try and save the tooth by doing a Root Canal, or the entire tooth can be pulled and removed from the mouth. This is called an extraction.

Why would you want to save the tooth by doing a Root Canal?

Saving your tooth is beneficial because the tooth helps preserve the bone in your mouth. Once a tooth is removed, our bodies absorb the bone where the tooth used to be. When that occurs it can cause problems with the surrounding teeth and make it more difficult to replace the tooth in the future. Every tooth in our mouth holds a position. When the tooth is removed, the neighboring teeth start to shift over time and the tooth opposite the missing tooth will slowly start to erupt because its biting partner is no longer there. Changes in the bite affect the way we chew. It’s also important to remember that any time a missing tooth needs to be replaced, it becomes more costly than saving the tooth.

Root Canals have a bad rap and lots of myths associated with them.

Most people associate having a Root Canal with pain. Most of the pain comes from the decay that has traveled to the nerve. The root canal procedure does not cause the pain but actually relieves the long-term discomfort. During the root canal procedure, the patient receives anesthetic in order to numb the tooth so the Dr. can remove the damaged tissue from inside of the tooth. Each tooth differs in the amount of canals or “roots” it has so the Dr. must go inside each one to clean out all the bacteria. Sometimes this can take a few visits to the Dentist due to the amount of bacteria present. Once the bacteria is gone and the canals are nice and clean, and the nerve is removed and the tooth cavity is filled with a material called gutta percha. This material now takes up the space where the blood supply is. This step is very important because it helps stabilize the now weakened tooth, and the actual root canal is all done! The tooth and the bone will start to heal but the tooth may be sore after the root canal. This is because a root canal is a longer procedure and everyone’s body heals at different rates. When the root canal is finished, the tooth requires a buildup and crown in order to protect it. Since the blood supply is now gone, the tooth can become brittle. The root structure will be strong from the gutta percha but the part of the tooth above the gums is brittle and needs to be protected by a crown.

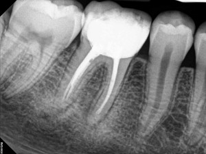
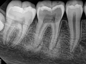
after the root canal has been completed on the tooth.

after the root canal has been completed on the tooth.

This is a picture of a final crown that will go over the newly treated root canal tooth.

This is a picture of a final crown that will go over the newly treated root canal tooth.

Some people believe that root canals cause other health concerns. Centuries ago a Dr. Price believed in tooth extraction rather than endodontic treatment (root canal). This caused a huge rise in tooth extractions for potential health problems and to treat decayed teeth in the 1920s. His research was discredited soon after he publicized his research. This was during the era when a women’s family would have her teeth removed and dentures placed before marriage in order to help lessen the financial burden for a new husband and make the wife easier to care for. We have come a long way since then!

Whenever seeking medical attention, it is always best to do your own research. Sometimes the internet gives us too many options and opinions, so it is always best to trust your Doctor. If you do not feel comfortable, a second opinion might be in order.

Dr. Ross, a Loveland Dentist, always welcomes new patients and would be happy to help you understand your dental treatment and needs! Check out our website [email protected] for more information!